
Левая колонка
Последний визит: 08:17
Фильтр
поделилась публикацией
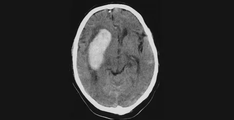
Угроза в вашей шее: 8 симптомов, при которых УЗИ сосудов не просто обследование, а мера предосторожности
Представьте: вы чувствуете лёгкое головокружение, «мушки» перед глазами, временами немеет рука… Но списываете всё на усталость, стресс или возраст. А между тем в сосудах шеи — тех самых, что питают мозг, — уже идёт процесс, который может привести к инсульту. И это не преувеличение. Сосуды шеи — особенно сонные и позвоночные артерии — играют ключевую роль в кровоснабжении головного мозга. Через них проходит до 80% крови, идущей к мозгу. Если в этих сосудах появляются бляшки, сужения или нарушается кровоток — мозг начинает «голодать». Сначала тихо, потом — резко и без предупреждения. Хорошая новость: инсульт часто можно предотвратить. И один из самых простых, безопасных и информативных способов — УЗИ сосудов шеи (дуплексное сканирование). Это не больно, не требует подготовки, занимает 15–20 минут и показывает состояние сосудов в реальном времени. Но когда именно стоит его делать? Не ждать же первого удара! Разберёмся, какие сигналы подаёт тело — и почему в некоторых случаях УЗИ становитс
Показать еще
13 комментариев
117 раз поделились
1.2K классов
поделилась публикацией
При каком артериальном давлении чаще происходит инсульт?
Почему инсультов больше при умеренно высоком давлении 140–160, чем при очень высоком 180–200 и выше? Интуитивно ведь ожидается обратное, однако данные, основанные на больших выборках, показывают иную картину. Дело в том, что риск инсульта растет непрерывно с повышением уровня артериального давления, причем без какого-либо порогового уровня, за которым начинался бы скачкообразный рост. При этом людей с показателями 140–160 мм многократно больше, чем с АД 180–200 мм, поэтому именно в таком диапазоне умеренно повышенного давления накапливается большее абсолютное число этих тяжких событий - инсультов. Важнейшую роль играет и длительность экспозиции. Давление около 150 часто сохраняется годами и приводит к хроническому повреждению сосудистой стенки, ремоделированию артерий и ускорению развития атеросклероза. Очень высокие значения вроде 190 мм обычно длятся куда как меньше, довольно часто сопровождаются симптомами, приводят к обращению за медицинской помощью и мотивируют к более тщательн
Показать еще
33 комментария
73 раза поделились
724 класса
- Класс
На этом пока всё
Войдите в ОК, чтобы посмотреть всю ленту
14
- Сибирское ЗдоровьеТомск
- Валерий ЖиянБрест
- Маша КолодичБрест
- Оля Аксёроваг. Геленджик (Краснодарский край)
3
- Народный лекарь. Природное здоровье27681 подписчик
- В память о Маме..8939 подписчиков
- 🦉СОВО-СОВА 🦉Жизнь без боли🦉53 подписчика

