
Левая колонка
Фильтр
поделилась публикацией
Нашли бляшку со стенозом 30%. Это опасно?
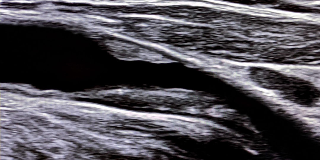
Бывает, пациент приходит с результатом уже выполненного ультразвукового исследования сосудов и задаёт один и тот же вопрос. В заключении описана атеросклеротическая бляшка и стеноз - когда 25%, когда 30%, а когда и больше. Значит ли это, что сосуд уже перекрыт значительно и впереди инфаркт или инсульт? Стеноз 30% означает, что просвет артерии уменьшен примерно на треть. Для кровотока это, как правило, не существенно. В большинстве случаев такие бляшки не вызывают симптомов и не требуют ни операции, ни установки стента. Обычно клинические проблемы возникают, когда сужение достигает 60-70% и более. Но возникает логичный вопрос: если бляшка всего 30%, почему врачи всё равно обращают на неё внимание? Потому, что важна не только степень сужения сосуда. Сам факт наличия бляшки говорит о том, что атеросклероз уже начался. Атеросклероз - системное заболевание, поражающее артерии в любом сосудистом бассейне. Если бляшка появилась в сонной или бедренной артерии, это зачастую означает, что изме
Показать еще
54 комментария
43 раза поделились
711 классов
- Класс
поделилась публикацией
Не хочешь стать обузой в старости? Делай эти 3 упражнения каждое утро — это займёт 10 минут
По статистике, едва ли не каждый второй человек старше 60 лет испытывает один и тот же страх. Боится не заболеть. Боится оказаться обузой — для детей, для внуков, для близких. В 1988 году молодой врач Бубновский попал в страшную аварию. Ему тогда не было и тридцати. Перелом позвоночника, несколько операций, прогноз хуже некуда. Врачи в московских больницах говорили прямо: готовьтесь к инвалидному креслу. Но он не просто встал на ноги. Он разработал целую систему, которая сегодня помогает тысячам людей — особенно тем, кому за 50, 60, 70. Три упражнения, о которых пойдёт речь ниже, — это не просто зарядка для пожилых. Это основа той самой независимости, которую так хотят сохранить люди в возрасте. Встать с кровати без чьей-то помощи. Дойти до магазина самому. Нагнуться за внуком, не охнув от боли. Это маленькие вещи, которые на самом деле — всё. Но сначала — немного о том, почему тело начинает подводить. После 50 лет в организме происходит кое-что очень конкретное. Мышцы начинают слаб
Показать еще
246 комментариев
1K раз поделились
6.7K классов
- Класс
поделилась публикацией
Пенсионные баллы снова пересчитали: как проверить, не украли ли у вас стаж
Вот мы и проснулись в марте 2026 года. Снег тает, цены, как обычно, стремятся в космос, а Социальный фонд России (СФР) снова «порадовал» нас очередным перерасчетом. Привет, друзья! На связи Роман. Я не чиновник и не юрист в дорогом костюме, я такой же, как вы — человек, который хочет, чтобы его честно заработанное не растворилось в цифровых недрах государственных серверов. Последнюю неделю я провел, уткнувшись в выписки и архивы, помогая своим родственникам разобраться с новой волной обновлений в базе данных. И знаете что? Ситуация аховая. Если вы думаете, что пенсия — это «когда-нибудь потом», то вы рискуете остаться с минималкой. Давайте честно: пенсионные баллы — это наша новая валюта, и курс её скачет похлеще биткоина. Сегодня я расскажу, как проверить, не обнулили ли ваши трудовые подвиги, и что делать, если в системе зияет дыра вместо вашего стажа. Для начала давайте разберемся с базой, чтобы мы говорили на одном языке. Что такое эти пресловутые «баллы»? Если убрать канцелярит
Показать еще
162 комментария
194 раза поделились
1.9K классов
- Класс
поделилась публикацией
Я разобрался с цифровым рублем и сохранил свои деньги: инструкция по выживанию
Знаете, я долго не верил всему этому шуму вокруг цифрового рубля. Думал, очередная страшилка из интернета, чтобы лайки собирать. Но когда 1 сентября 2026 года моя зарплата пришла на выбор — наличными, картой или цифрой, — я вдруг остро осознал: это не шутки. Это новая реальность. И я начал разбираться. Не как эксперт из телевизора, а как обычный человек, который не хочет, чтобы государство видело, зачем я купил ту самую книгу в том самом магазине. Прошерстил кучу информации, поговорил со знакомыми финансистами, почитал законы. И вот что я понял. Цифровой рубль — это не просто новый способ платить. Это система тотального контроля. И если вы думаете, что вас это не коснется, вы ошибаетесь. Коснется каждого. Да потому что с 1 сентября 2026 года любой работник может получать зарплату в цифровых рублях . Добровольно, скажут нам. Ага, как ипотека была добровольной, пока без нее квартиру не купить. Но я нашел выход. Я протестировал схему на себе, и теперь живу спокойно. Рассказываю по шагам.
Показать еще
0 комментариев
30 раз поделились
111 классов
- Класс
поделилась публикацией
Можно ли вернуть легкие после курения: откровение от врача и реальные сроки
Знакомо это ощущение? Поднимаешься на третий этаж, а дыхание сбивается, будто пробежал кросс. Кашель по утрам как ритуал, без него день не начинается. И где-то внутри сидит вопрос, неприятный такой, а если бросить курить сейчас, в 30, 45, в 55, в 60 лет, легкие вообще очнутся? Или поезд уже ушёл. Я задал этот вопрос знакомому врачу. Ответ был не таким простым, как хотелось бы. И не таким безнадёжным, как многие думают. Материал написан исключительно в информационном стиле без медицинских рекомендаций, советов и прочего. Мы не пропагандируем курением. КУРИТЬ ВРЕДНО! Когда человек курит годами, он редко думает о физиологии. Ну дым и дым, все курят. А в легких в это время идёт работа, точнее, разрушение. Табачный дым бьёт не только по слизистой, он буквально тормозит работу ресничек, микроскопических «щеточек», которые должны выметать слизь, пыль, бактерии. Реснички не отваливаются, нет. Они просто становятся ленивыми. Почти парализованными. Слизь накапливается. В ней содержатся смолы, пр
Показать еще
80 комментариев
39 раз поделились
335 классов
- Класс
На этом пока всё
Войдите в ОК, чтобы посмотреть всю ленту
191
- Лениногорские вестиг. Лениногорск (Лениногорский район)
- Светлана Шушкевич(Шилко)Новогрудок