
Левая колонка
Фильтр
поделилась публикацией
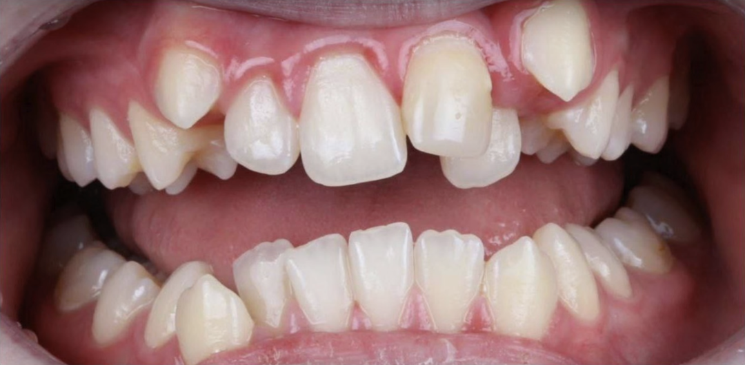
5 самых распространённых ошибок ортодонтов, которые могут навредить Вашему здоровью
Сегодня я расскажу о пяти самых частых ошибках врача-ортодонта, которые, к сожалению, могут не просто не помочь пациенту, но и серьёзно ухудшить его состояние. На данный момент это, пожалуй, самая распространённая ошибка.
Научное сообщество доказало: дисфункцию височно-нижнечелюстного сустава ортодонтия не лечит. Если врач утверждает обратное — лечение изначально будет неэффективным.
Пациент идёт на установку брекетов «во имя спасения сустава», но в итоге может получить лишь разочарование и ухудшение состояния. Представьте: лечение проведено, а дисфункция осталась. Появляется тревожность, напряжённость, боль — это срыв адаптации, одно из самых неприятных осложнений. Особенно опасно применять сложные ортодонтические и ортогнатические методы у пациентов с ВНЧС — такие вмешательства часто провоцируют хронические боли и психоэмоциональные нарушения. Именно из-за этого формируется так называемая дисморфоокклюзофобия — стремление довести прикус до «идеала», чтобы прошла боль.
Но, к сожале
Показать еще
1 комментарий
2 раза поделились
12 классов
- Класс
Поделилась фотографией
Поделилась заметкой
02:49
1.1K комментариев
16K раз поделились
210K классов
00:49
- Класс
На этом пока всё
Войдите в ОК, чтобы посмотреть всю ленту
143
- Владимир СоколовМосква
- Ольга Петрова (Валенюк)с. Солнечная Долина
40
- Судак: история и наше время11075 подписчиков
- ДУШНИЛА С МИКРОФОНОМ 🎤🤡35675 подписчиков
- Радость бытия2923 подписчика
- Кино_edits2985 подписчиков
- LIFE.ru1151997 подписчиков