
Фильтр
Закреплено
Почему гибкие дети «рассыпаются» к 20 годам: честный разбор хирурга-реабилитолога
Многие родители (и, к сожалению, тренеры) воспринимают феноменальную гибкость ребенка как счастливый билет в большой спорт. «Гнется, как пластилиновый, — точно будет чемпионом!» — говорят они.
Но я, как детский хирург и реабилитолог, смотрю на это иначе. За «грацией» часто скрывается Дисплазия соединительной ткани (ДСТ). И если в 7 лет это выглядит как талант, то к 20 годам это может обернуться
Показать еще
🌟 История успеха, которая вдохновляет! 🌟
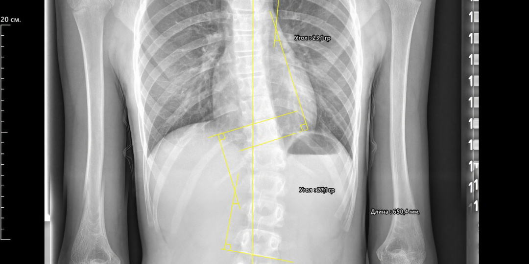
В начале 2024 года к нам обратилась 13-летняя девочка. Ситуация была критической: по результатам обследования в поликлинике произошла резкая прогрессия сколиоза. На момент начала лечения данные были такими: • Тест Риссера: 0 (активный рост!) • Сколиотические дуги: Правосторонняя грудная 23° и Левосторонняя поясничная 27°. ВАЖНО! Угол Кобба 27⁰ классифицируется как III степень сколиоза (пограничная или начальная III степень), что требовало немедленного и очень строгого вмешательства. Рекомендации: Строгое ношение корсета Шено + ежедневная специализированная Шрот-гимнастика. 🔥 Секрет успеха? Дисциплина и вера! 🔥 Эта девочка — настоящий герой! Столкнувшись с диагнозом III степени, она не опустила руки и добросовестно выполняла ВСЕ рекомендации: • Строгое ношение корсета положенное время. • Ежедневные, усердные занятия Шрот-гимнастикой. И знаете что? С каждым контрольным снимком результат становился лучше и лучше! 🏆 И вот он, наш фантастический результат! 🏆 На последне
Показать еще
- Класс
загрузка
Показать ещёНапишите, что Вы ищете, и мы постараемся это найти!
Левая колонка
О бизнесе
Врач
Привет! Меня зовут Клименко Дмитрий.
✔️ Шрот и SEAS терапевт
✔️ Врач-реабилитолог
✔️ Детский хирург
✔️ Заведующий отделением медицинской реабилитации
✔️ Член Союза Реабилитологов России
Моя страница — ваш помощник на пути к здоровью!
Здесь вы найдете полезную информацию, если вас или вашего ребенка беспокоит:
✨ Боль в спине
✨ Сколиоз
✨ Гиперкифоз
✨ Нарушение осанки
✨ Контрактуры суставов
✨ Последствия компрессионного перелома позвоночника
✨ Грыжи диска
- Работает удалённо
- +79952504444
- Воронеж

