Свернуть поиск
Фильтр
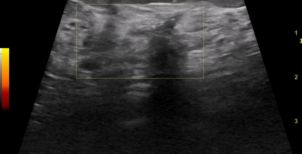
Онкологический консилиум, секторальная резекция молочной железы, результат — доброкачественно.
Разбираем диагностический случай врача-онколога, врача мультимодальной диагностики, КМН - Ивановой М.Н. Пациентка Ш. 1981гр была направлена к онкологу в рамках прохождения предоперационного обследования в клинике Олимп Здоровья.
На консультацию было представлено описание маммографии от 19.08.24г (без предоставления пленочных снимков или CD диска). Заключение: выраженная фиброзно-кистозная мастопатия. Признаки фиброаденом молочных желез. Предполагаются мелкие кисты желез. BI-RADS 3. УЗИ до приема пациентка не делала.
УЗИ на приеме от 20.08.24г:
На 3 ч на расстоянии 4 см от соска определяется гипоэхогенная зона с нечеткими неровными контурами размером 20х13 мм, с гиперэхогенными включениями, и цветовыми сигналами BI-RADS 4b. Был запрошен CD диск с маммограммами для второго мнения. Второе прочтение, заключение: в верхне-наружном квадранте левой молочной железы на границе с ретромаммарной зоной на расстоянии 6 см от соска, определяется зона нарушения архитектоники на участке 35х40 мм
Показать еще
Клинический случай полного макулярного разрыва в сочетании с географической атрофией сетчатки
Статью подготовил врач-офтальмолог Владимирова Ю.В. В клинику «Олимп Здоровья» обратилась пациентка М., 1938 г.р., с жалобами на снижение зрения вдаль и вблизи правого и левого глаз, наличие «пятна» перед левым глазом и искажение линий перед правым глазом. Пациентка оперирована по поводу катаракты дважды в 2018 г., однако желаемая острота зрения достигнута не была. Носит очки для чтения, но коррекция не удовлетворяет, отмечает наличие «черных пятен» перед глазами. Наследственный анамнез не отягощен. Наблюдается у кардиолога и терапевта по поводу гипертонической болезни и ОНМК. OD 0,4 н/к; вблизи 0,3 sph +2.50 = 1,0
OS 0,1 н/к (эксцентрично); вблизи 0,3 sph +2.50 («через пятно в центре») = 1,0 OD 11 мм рт. ст.
OS 10 мм рт. ст. OU: макулярный рефлекс.
OD - сглажен, единичные участки атрофии ПЭС, твердые друзы.
OS - рефлекс отсутствует, «географическая» атрофия, неравномерная пигментация, множественные твердые друзы, в фовеоле разрыв со слабопигментированными краями. OU - небольшое разреж
Показать еще
- Класс
СДВГ, ох уж этот вечный двигатель, прыгатель… Как помочь ребенку и родителю?
Статью подготовил врач-психиатр, психотерапевт ЦСМ "Олимп Здоровья" Лапина (Скребцова) В.Е. Каждому ребенку иногда трудно спокойно сидеть, не елозить или сконцентрировать внимание. Однако у детей с синдромом дефицита внимания и гиперактивности (СДВГ) такие трудности постоянны и часто усложняют жизнь в школе и дома. СДВГ - расстройство, при котором ребенку трудно справляться с предъявляемыми к нему возрастными требованиями. Для таких детей каждый день может быть потоком быстро сменяющихся картинок, мыслей и звуков. Начатые дела быстро надоедают, ребенок может постоянно вертеться, ему сложно привести в порядок мысли или ждать своей очереди. Поведение может быть беспокойным в классе, среди друзей и дома. Иногда проблема проявляется не столько в поведении, сколько в трудностях концентрации и внимания - ребенок может быть рассеянным и отрешенным, а учеба требует значительно больше времени. Причин возникновения СДВГ много, и они активно изучаются, однако однозначного ответа нет. Это нейробио
Показать еще
- Класс
«Щитовидка в норме, но анализ плохой»: почему этот гормон важнее ТТГ
Кальцитонин – специфический маркер медуллярного рака щитовидной железы. Хирург-эндокринолог Бражник Елена Анатольевна рассказала о референсных значениях гормона, степень онкологического риска в зависимости от его концентрации, а также алгоритм диагностики. Кальцитонин – особый гормон щитовидной железы, который вырабатывается С-клетками, расположенными среди фолликулов. В щитовидной железе С-клетки представлены в небольшом количестве, поэтому с точки зрения оценки функции щитовидной железы этот гормон не представляет большого интереса. И главная его роль в современной медицине сводится к диагностике медуллярного рака (наиболее агрессивной формы рака щитовидной железы). В норме концентрация кальцитонина в крови составляет менее ‹ 6,4 пг/мл для женщин, и ‹ 9,52 пг/мл для мужчин (значения могут отличаться в разных лабораториях). Но здесь важно отметить, что прогностическая ценность кальцитонина как онкомаркера напрямую зависит от концентрации гормона в крови: Таким образом, если уровень ка
Показать еще
- Класс
Свой путь: как женщина-уролог изменила жизнь и привезла в Воронеж уникальные операции
В Воронеж с уникальным опытом и технологиями приехала уролог-хирург Лебедева Алена Александровна. За ее плечами — более 10 000 операций и статус единственной в России женщины, виртуозно выполняющей лазерную энуклеацию аденомы простаты на экспертном уровне. В интервью она рассказывает, почему выбрала урологию, как оказалась в нашем городе и какие передовые методики — от операций «через спину» до персонализированной медицины — теперь доступны пациентам Черноземья в клинике «Олимп здоровья». Это история о выборе, профессионализме и новом этапе развития урологической помощи в регионе.
- Я с самого начала хотела оперировать, обожала предметы всех хирургических специальностей, но урология перевесила своей деликатностью и многообразием: можно выбрать любой профиль и специализироваться в нем всю жизнь: лапароскопия, трансуретральная хирургия, хирургия мочекаменной болезни, онкоурология, генитальная хирургия. Можно совмещать работу в операционной с амбулаторным приемом, что я и делаю на протяж
Показать еще
- Класс
Слух восстановлен: лечение сложного экссудативного отита у ребенка
«В клинику «Олимп Здоровья» обратился пациент 2016 г.р. Он жаловался на снижение слуха, которое беспокоило его уже три недели», - клинический случай врача–оториноларинголога Бухарева А.А. С 3,5 лет часто болел насморком и страдал от экссудативных отитов. Ему удалили аденоиды и провели шунтирование барабанных перепонок. До 2021 года состояние улучшилось.
Но после каждого эпизода ОРВИ снова возникали экссудативные средние отиты. Неоднократно проводилось шунтирование на оба уха, и после этого у него начал снижаться слух.
Ребенка направили на консультацию в Москву, где снова выполнили шунтирование. Через шесть месяцев после выпадения шунтов состояние повторилось.
Слух продолжал ухудшаться. В феврале 2025 года родители обратились к врачу А.А. Бухареву в клинику «Олимп Здоровья». Врач назначил дополнительное обследование, включая диагностику слуха. По результатам обследования было запланировано оперативное вмешательство. В марте 2025 года выполнена операция: удаление рецидива аденоидов,
Показать еще
- Класс
Ловушка для носа: почему сосудосуживающие капли вызывают зависимость?
Заложенность носа – настоящая мука! И что мы делаем первым делом? Тянемся к спасительному флакончику. «Капля в нос – и дышишь легко» – так думают многие, кто регулярно пользуется сосудосуживающими каплями. Но за временным облегчением скрывается опасность: привыкание и даже настоящая зависимость… 👩⚕️ Как ее определить, а главное, победить, расскажет врач-оториноларинголог-хирург, детский хирург Зинченко Ирина Константиновна.
Показать еще
- Класс
Бодрость без вреда: кофе или цикорий?
☕Каждое утро миллионы людей задаются вопросом: с какого напитка начать утро? Бодрящий аромат кофе манит, но все чаще звучат голоса в пользу цикория – альтернативы, которая обещает пользу для здоровья.
Так что же выбрать? Своими рекомендациями поделится врач-кардиолог первой квалификационной категории Арутюнова Наталия Алексеевна.
«Оба напитка могут быть полезны, если знать меру и учитывать индивидуальные особенности организма.
📌Начнем с любимца многих россиян – кофе. Он, вопреки распространенным мифам, при умеренном потреблении может снижать риск сердечных заболеваний (ИБС, фибрилляции предсердий и др.) и даже увеличивает продолжительность жизни.
Но! Если после утренней чашечки эспрессо или американо вы ощущаете учащенное сердцебиение, одышку или другие неприятные симптомы, это тревожный сигнал, требующий прекращения употребления и обращения к врачу за консультацией.
📌Цикорий, в свою очередь, не обеспечит мгновенного пробуждения, как кофе, но зато способствует снижению уровн
Показать еще
- Класс
Зубы мудрости: удалить или оставить?
🦷 «Зубы мудрости (третьи моляры) – это последние зубы, которые прорезываются, обычно это происходит в возрасте от 17 до 25 лет. Зачем они нам нужны? Давно, когда наши предки ели жесткую пищу, восьмерки помогали пережевывать продукты. Сейчас, когда еда мягкая и обработанная, необходимость в них отпала. В большинстве случаях, зубы мудрости удаляются, но на каждую такую операцию должны быть свои показания:
👉 неправильная закладка зачатка зуба, 👉 неправильное направление прорезывания – чаще всего в щеку или в соседний зуб, что может привести к его потере, 👉 показания врача-ортодонта – если в зубном ряду генетически мало места для всех зубов (неудаление в таком случае приведет к скученности остальных зубов), 👉 сильно разрушенный кариозный зуб – из-за сложной доступности восьмерки очень неудобно чистить, что приводит к быстрому развитию кариеса. Игнорировать беспокоящий зуб мудрости опасно – при длительном хроническом воспалении могут возникнуть осложнения в виде абсцессов и флегмон ч
Показать еще
- Класс
загрузка
Показать ещёНапишите, что Вы ищете, и мы постараемся это найти!
Дополнительная колонка
О группе
Мы здесь, чтобы вы были здоровы - полный спектр диагностики, консультации и операции, стационар.
400 врачей
75 докторов и кандидатов медицинских наук
5 операционных
Более 1000 единиц оборудования
Воронеж
Показать еще
Скрыть информацию
Правая колонка