
Фильтр
Стоматолог против косметолога: к кому первому идти за коррекцией эстетики лица
Современная женщина приходит в эстетику с предельно понятными запросами: хочется видеть в зеркале чёткий овал лица, ровную симметрию, аккуратную линию подбородка, отсутствие брылей, гладкую кожу без глубоких заломов, естественно расслабленную мимику и, конечно, никакого второго подбородка, который так предательски портит профиль и прибавляет возраст. Косметология великолепно работает с качеством кожи и мягкими тканями, но если проблема кроется глубже — в нарушении прикуса, неправильном положении нижней челюсти и сниженной высоте, мы можем получить красивый, но очень временный результат. Как врач ортопед, ортодонт, со стажем более 20 лет, который очень глубоко погружен в эстетику мягких тканей лица, говорю об этом прямо: эстетика нижней трети лица начинается не с филлеров, а с положения челюстей, высоты нижнего отдела лица, баланса мышц и функции окклюзии. Эстетика невозможна без правильной функции зубочелюстной системы. Косметология работает с фасадом, а стоматология — с фундаментом
Показать еще
- Класс
Девочка перестала улыбаться в 11 лет: история одной 11-летней пациентки и то, что за этим скрывалось
Запрос родителей звучал просто и очень тревожно: «Ребёнок больше не улыбается. Стесняется. Над ней смеются в школе». К этому добавлялись: — трудности с жеванием, — проблемы с откусыванием пищи, — нарушение носового дыхания. Осмотр и диагностика За внешне «просто неровной улыбкой» скрывалась серьёзная функциональная проблема: — нижняя челюсть полностью перекрывала верхнюю, — выраженное смещение челюсти вбок, — формирующаяся асимметрия лица, — перегрузка мышц и сустава. Мы начали с полной диагностики и санации. Сохранили 8-е зубы, что при 3 классе прикуса удаётся далеко не всегда и требует функционального мышления, а не шаблонных решений. После большого функционального анализа (аксиография, анализ моделей в артикуляторе, виртуальный сетап и др) было проведено планирование этапов лечения пациента. ВАЖНО: лучший момент для коррекции прикуса у детей — до 7 лет. Диагностика показала 🔸 полный перекрёстный прикус во фронтальном и жевательных отделах 🔸 критически сниженную высоту нижней тр
Показать еще
Эту статью стоит прочитать каждому, у кого есть проблемы с зубами
Я пишу этот текст не для того, чтобы напугать или что-то продать. Я пишу его как стоматолог-ортодонт, доктор наук и владелица клиник, которая каждый день видит один и тот же сценарий: люди приходят слишком поздно — не потому что игнорировали здоровье, а потому что не понимали, что происходит. Почему зубы не дают о себе знать годами Самая опасная фраза, которую я слышу от пациентов: «Но ведь ничего не болело…» В стоматологии это абсолютно нормально. Большинство процессов развиваются бессимптомно: под пломбами, под коронками, в корнях, в костной ткани. Наш с вами организм прекрасно адаптируется и способен компенсировать множество проблем. Боль появляется тогда, когда ресурса уже нет – именно в этот момент лечение становится сложнее, дольше и дороже. Зубы — это не отдельные самостоятельные элементы Одна из главных ошибок — думать, что зуб можно лечить изолированно. На самом деле зубы — часть системы, где всё связано: прикус, мышцы, суставы, дыхание, осанка. Если в этой системе есть пере
Показать еще
Почему ваше декабрьское выгорание никак не связано с усталостью
Почему ваше декабрьское «выгорание» часто не имеет отношения к усталости В конце года ко мне всё чаще приходят пациенты с одним и тем же описанием состояния:«Постоянная усталость», «туман в голове», «нет концентрации», «голова болит с утра». Большинство из них убеждены, что причина — эмоциональное выгорание или переутомление. Однако в клинической практике я регулярно вижу другую картину: усталость как симптом функционального нарушения, а не психоэмоционального истощения. Когда усталость — это сигнал тела Истинное эмоциональное выгорание развивается постепенно и проявляется прежде всего снижением мотивации и интереса. Но если усталость присутствует уже утром, сопровождается головными болями, напряжением в лице и шее, ощущением давления в висках — это повод искать соматическую причину. Одной из наиболее недооценённых является спазм жевательных мышц и дисфункция височно-нижнечелюстного сустава (ВНЧС). ВНЧС как ключевой элемент нейромышечной системы ВНЧС — один из самых биомеханически с
Показать еще
- Класс
Асимметрия лица и овал: как связаны прикус, бруксизм и ВНЧС?
Недавно я показывала кейсы, где у взрослых и детей была выраженная асимметрия лица. Сегодня разберём, почему она формируется и как это связано с прикусом. На первый взгляд, мы все немного асимметричны. Но если вы замечаете, что у вас:
– смещён центр подбородка,
– овал лица искажается,
– одна сторона лица выглядит «опущенной» или напряжённой,
– часто щёлкает или болит челюсть,
– появляются головные боли или скрежет зубами —
это может быть не нормой, а следствием нарушений в работе височно-нижнечелюстного сустава (ВНЧС), бруксизма или неправильного прикуса. 📌 Как проверить себя: 🦷 Что помогает восстановить симметрию и правильный овал лица:
– коррекция прикуса с учётом положения суставов,
– лечение бруксизма (часто с помощью кап),
– функциональная терапия ВНЧС,
– в некоторых случаях – мягкая работа с мышцами лица и шеи,
– регулярный контроль и отслеживание изменений. 📷 В следующем посте покажу фото до и после пациентов с ярко выраженной асимметрией и результатом после исправ
Показать еще
- Класс
«У меня лицо стало квадратным». Что это значит на самом деле?
Недавно ко мне обратилась пациентка с фразой, которую я слышу всё чаще:
«Лицо стало как будто квадратным…» Знаете, с чем чаще всего это связано?
👉 С бруксизмом — ночным сжатием челюстей и скрежетом зубами
👉 С патологической стираемостью зубов
👉 Со снижением высоты прикуса и перегрузкой суставов
👉 С нарушением положения ВНЧС (височно-нижнечелюстного сустава) Визуально это проявляется так:
– Лицо теряет овал, становится грубее
– Нижняя треть лица укорачивается
– Жевательные мышцы становятся массивнее
– Возникает ощущение асимметрии лица
– Контур теряет плавность, появляются «углы» 💬 Часто пациентки сами описывают это так:
❤️ «Щёки опустились»
❤️ «Овал лица поплыл»
❤️ «Углы нижней челюсти стали ярко выраженными» 📸 Вот пример:
На фото — моя пациентка до начала исправления прикуса.
Нижняя треть буквально «срезала» её женственность, придавая маскулинность. Но посмотрите, что происходит в процессе:
✔ Восстановление правильного прикуса
✔ Гармонизация высоты и положения че
Показать еще
- Класс
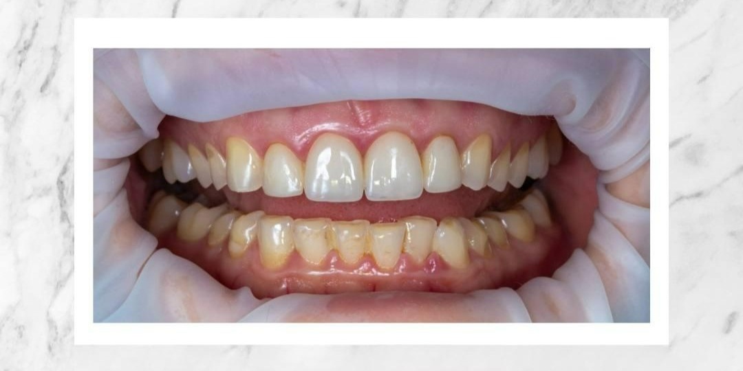
Этим винирам 20 лет!
К нам обратилась пациентка, которая ранее проходила ортопедическое лечение у главврача нашей клиники Узунян Наринэ Адольфовны, когда она еще только закончила ординатуру на кафедре университета. Очень интересно наблюдать за динамикой пациентов спустя десятилетия. А здесь прошло целых 20 лет! Все зубы пациентки за это время разрушились и подверглись износу, а виниры стоят, как в первый день. Но с чем же пришла пациентка на этот раз? Давайте рассмотрим подробнее этот клинический случай и поймем, какой вызов мы приняли. Когда пациентка обратилась к Наринэ Адольфовне в первый раз, она морально не была готова к большой ортопедии, был лишь запрос на эстетику улыбки. Перед врачом стояла задача: защитить только центральные зубы от стирания и решить эстетический вопрос. Все эти годы после установки виниров пациентка ходила с красивыми внешне зубами, но только сейчас созрела для того, чтобы более серьезно заниматься своей зубочелюстной системой. Что мы увидели, когда пациентка пришла к нам в клин
Показать еще
Серьезная патология прикуса у ребенка
В марте 2023 года к нам в клинику обратились родители 11-летней девочки с жалобами на большую доминирующую нижнюю челюсть и недоразвитие верхней челюсти, из-за чего у ребёнка сформировался комплекс по поводу улыбки. Обратите внимание, насколько тяжелой выглядит нижняя челюсть. У ребенка даже появился второй подбородок! А сниженная высота зубного ряда стала причиной большого объема нависания щек. На фото в анфас вы также можете заметить асимметрию лица, которая будет усугубляться с возрастом. Челюсть смещена вправо. Учитывая такой комплекс проблем, родителям было крайне важно получить профессиональное мнение — можно ли помочь их ребёнку снова полюбить свою улыбку. Давайте подробнее рассмотрим этот клинический случай и поймем, в чем был корень проблемы девочки. Внешне очень симпатичная девочка, умница и отличница, радость родителей — наша маленькая пациентка совсем не хотела улыбаться. Семья давно не была у себя на Родине, все вместе они готовились к радостной встрече, но девочка стеснял
Показать еще
А ваш ортодонт делает расчет ТРГ?
Разбирая клинические случаи, мы часто показываем вам изображения телерентгенографии пациентов. Что же это такое? Телерентгенография (далее ТРГ) — это рентгенологическое исследование, которое представляет собой 2D-снимок в боковой или прямой проекции черепа человека. ☝🏼 По данному снимку компетентный врач диагностирует аномалии, которые имеются у конкретного пациента в различных плоскостях. С помощью снимков ТРГ можно просчитать довольно много параметров и диагностировать особенности строения зубочелюстной системы. 🔸 Размеры и положение челюстей (прогнатия, ретрогнатия). 🔸 Макро- и микрогнатия (увеличенная или недоразвитая нижняя челюсть). 🔸 Взаимоотношение челюстей. 🔸 Инклинация резцов. 🔸 Направление окклюзионной линии. 🔸 Взаимоотношение мягких тканей лица и челюстных костей. Также на ТРГ могут быть измерены углы и расстояния, которые характеризуют соотношение различных элементов зубочелюстной системы. 👨🏻⚕️ ТРГ является одним из исследований в практике врача-ортодонта и врача
Показать еще
загрузка
Показать ещёНапишите, что Вы ищете, и мы постараемся это найти!
Левая колонка
О группе
Лечение ВНЧС. Гнатология. Лечение сложных патологий прикуса и полная реабилитация. Исправление прикуса детей и взрослых. Уникальные протоколы лечения: метод OSB и лечение с помощью аппаратов. Спортивные капы для профессионалов. Собственная лаборатория.
Показать еще
Скрыть информацию
Фото из альбомов