
Фильтр
Восстановление зубов при дефиците кости по протоколу All-on-4. Сложный случай имплантации
А вы знали, что восстановление зубов при выраженной атрофии костной ткани — очень сложная, но решаемая задача в современной стоматологии благодаря имплантации. Даже в случаях, когда пациенты получают отказ в нескольких клиниках, есть методики, благодаря которым возможно вернуть полноценную улыбку. В моей практике хирурга–имплантолога было много сложных имплантаций, и одним из таких клинических случаев я хотел бы поделиться с вами. Это история пациентки, которая пришла ко мне без единого зуба и с минимальным объёмом костной ткани, а ушла через несколько дней с возможностью полноценно жевать на всех зубах. Пациентка обратилась к нам в MY ORT после консультаций в других клиниках, где ей не смогли предложить надежный вариант восстановления зубов из-за выраженного дефицита костной ткани в передних и боковых отделах верхней челюсти. На нижней челюсти у нее уже было установлено два имплантата для фиксации съемного протеза, но это практически никак не повлияло на качество жизни, а на верхней
Показать еще
- Класс
Полное восстановление зубного ряда без седации по методике ALL-on-4. Как это было?
В моей практике как врача-стоматолога, ортопеда, гнатолога, часто встречаются пациенты, которые годами мечтают о красивой улыбке, но не могут позволить себе лечение сразу. Кто-то боится операции, кто-то ждет подходящего момента. Но когда решение наконец принято, жизнь у таких пациентов меняется буквально за несколько дней. В этой истории я хочу рассказать о пациенте, который долгие годы откладывал восстановление зубного ряда, а когда решился на лечение, то получил не только новую красивую улыбку, но и помолодел на 15 лет. У пациента почти пять лет был мой номер телефона, и он знал, что всегда может ко мне обратиться, чтобы восстановить зубы. Но по финансовым причинам лечение приходилось постоянно откладывать. Все это время пациент постепенно копил средства, чтобы исполнить свою мечту — вернуть красивую улыбку и возможность полноценно жевать, так как это доставляло большой дискомфорт и не давало нормально жить. Когда он пришел на приём, мы провели комплексную диагностику, включая компью
Показать еще
- Класс
Две большие операции на десне: как мы подготовили пациента к ортодонтии.
Ко мне, как к пародонтологу, пациентка была направлена терапевтом: причина — выпала очередная пломба. Грамотный терапевт знает, что установка пломбы на оголенный корень — только усугубит проблему с рецессиями. И, несмотря на ранее проведённое лечение рецессий пломбами, пациентка отмечает, что состояние десны ухудшалось в течение последних 10 лет. Также она обеспокоена эстетикой улыбки, периодической чувствительностью и переживала за будущее своих зубов, боясь их потерять. Мы провели две большие операции (с интервалом чуть больше месяца) — сначала правая сторона, затем левая. Сейчас пациентка готовится к ортодонтическому лечению. Разберем подробнее, как это было. У пациентки — тонкая десна и кость, это то, что нам дано от природы, как цвет глаз или склонность к веснушкам, а прикус сформировался таким образом, что на некоторые зубы приходилось больше нагрузки, чем они способны выдержать, в результате десна «ушла», а зубы стирались, формировались трещинки и сколы эмали, особенно в самом у
Показать еще
- Класс
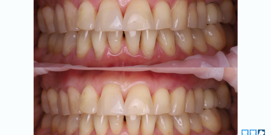
Белоснежная улыбка для пациентки. Как мы поставили виниры после ортодонтического лечения.
Виниры могут быть не только эстетическим решением для пациентов, желающих получить красивую улыбку, но и важной частью комплексного лечения, направленного на восстановление функции прикуса и эстетики улыбки. Об одном из таких клинических случаев расскажу вам я, врач-стоматолог, ортопед, в этой статье. Пациентка обратилась ко мне с жалобами на неудовлетворительную эстетику улыбки, выраженную рецессию десны, а также клиновидные дефекты зубов. Ранее пациентке уже проводилось лечение этих дефектов в другой клинике, однако повышенная чувствительность зубов сохранялась и доставляла ей дискомфорт. При осмотре у пациентки было обнаружено нарушение прикуса, которое напрямую влияло как на эстетику зубов, так и на распределение жевательной нагрузки. После моего осмотра пациентка была направлена на консультацию к ортодонту, и было принято решение о предварительном ортодонтическом лечении. В течение полутора лет пациентка носила брекет-систему для коррекции прикуса. Этот этап был крайне важен, так
Показать еще
- Класс
Пациентка с аллергией на металл: как мы провели ортодонтическое лечение без брекетов
Иногда в моей практике бывают пациенты с нарушением функции сустава, сложными патологиями и ограничениями, которые усложняют выбор методов лечения. Я, как лечащий врач-ортодонт, хочу рассказать вам о клиническом случае пациентки с дисфункцией сустава и скученностью зубов, у которой наблюдалась аллергия на металл, из-за чего брекеты ей были просто противопоказаны. Жалобы пациента Пациентка обратилась ко мне с выраженными болями в области височно-нижнечелюстного сустава. Она жаловалась на дискомфорт при жевании, болезненные ощущения при движении нижней челюстью и ощущение усталости мышц. Кроме этого, ее беспокоила скученность зубов и неэстетичное положение верхнего правого клыка. Улыбка пациентки до лечения -> Диагностика Я провела комплексную диагностику, включающую фотопротокол, цифровое сканирование, анализ КЛКТ и ТРГ. На этапе диагностики и подготовки к лечению выяснилось, что у пациентки есть выраженная аллергическая реакция на металл (никель), а это полностью исключает использован
Показать еще
Как мы исправили чужую ошибку и вернули радость жизни пациенту: сложный случай из практики
Иногда за словами «мне просто трудно жевать» скрывается целая история с нарушенной функцией сустава, тревогой перед каждым приёмом, усталостью и слезами от неудачных протезов, установленных в других клиниках. Я хочу рассказать вам о пациентке, чей путь к полноценной жизни без боли в суставе оказался очень непростым. Как мы исправляли ошибки других врачей и что из этого вышло. Жалобы пациента Ко мне обратилась пациентка полтора года назад с жалобой на боль в суставе. Она пришла ко мне как к гнатологу. На первый взгляд проблема выглядела как ортопедическая, но диагностика показала совершенно другую картину, требующую серьезного междисциплинарного подхода. История пациента. Почему она пришла к нам после другой клиники До обращения к нам у пациентки стояли две большие мостовидные конструкции, от клыка до клыка на обеих челюстях. Пластиковые временные мосты не обеспечивали жевательную функцию челюсти. Имплантаты стояли в боковых сегментах 1–4 и с 5–8 по секции, но в области 45-го зуба был о
Показать еще
Пациентка не хотела носить брекеты — как мы вылечили прикус без них. Реальный случай
В работе стоматолога важно не только правильное и комплексное лечение, но и обеспечить комфорт самого пациента. Для меня, как для врача-стоматолога, ортодонта, гнатолога важно не просто исправить прикус, а понять, что именно волнует пациента, услышать его потребности и предложить оптимальное решение.
В этом клиническом случае расскажу о пациентке, для которой важным было не только добиться идеальной улыбки, но и сохранить её эстетику в процессе лечения. Жалобы пациента Ко мне обратилась пациентка 23-х лет с жалобами на эстетику улыбки. Девушка работает в сфере организации ивент-мероприятий, постоянно общается с медийными личностями и является лицом крупного цветочного бренда. Поэтому установка брекет-системы не рассматривалась — важно было сохранить естественный вид улыбки в процессе лечения. Фото пациентки до лечения -> Диагностика и особенности прикуса Во время обследования у пациентки были обнаружены нарушения работы височно-нижнечелюстного сустава: щелчки при открывании рта, голов
Показать еще
Комплексное восстановление обеих челюстей на 11 имплантатах: сложный клинический случай
В клинику MY ORT часто обращаются пациенты, чья ситуация с зубами кажется просто безнадежной: разрушенные зубы, хроническое воспаление, невозможность нормально питаться и даже улыбаться. Я, челюстно-лицевой хирург, имплантолог, хочу представить реальный клинический случай, в котором примерно за один год мы с ортопедом, помогли пациенту пройти путь от полной потери зубов до естественной, функциональной и красивой улыбки. Этот клинический случай показывает, что вернуть комфорт, уверенность и качество жизни возможно в любом возрасте — главное, поверить в себя и довериться профессионалам. Ко мне обратился мужчина 43-х лет с жалобами на разрушение и подвижность зубов обеих челюстей. Он испытывал трудности при жевании, дискомфорт. На момент обращения в полости рта наблюдались ярко выраженные множественные очаги инфекции и воспалительные процессы. Осмотр полости рта и компьютерная томография показали, что большинство зубов разрушены и не подлежат восстановлению. Также отмечались очаги хрониче
Показать еще
Зуб, сломанный разводным ключом: как мы восстановили его за 1 час. Реальный случай
Вы когда-нибудь задумывались, как всего одно неловкое движение может стоить вам улыбки? Иногда ко мне на приём приходят пациенты с такими историями, которые просто невозможно придумать, но на практике встречается чаще, чем можно подумать. Я, врач-стоматолог, ортодонт, гнатолог и терапевт, хочу рассказать реальный случай с моим пациентом, и о том, как я смогла всего за один час вернуть улыбке прежний вид — без боли, без анестезии и без сложных процедур. Ко мне обратился пациент около 30 лет с переломом переднего зуба. На работе он случайно ударил по зубам разводным ключом, пытаясь что-то открыть. В результате у него откололся край верхнего резца. Выслушав пациента, я заверила его, что всё будет в порядке, и приступила к осмотру зуба. Осмотр показал горизонтальный перелом коронковой части без вскрытия пульпарной камеры. Зуб остался живым и реагирует на температурные раздражители (в течение 3–5 секунд). На снимках КТ изменений в периапикальных тканях обнаружено не было, распространения по
Показать еще
- Класс
Как мотивация ребёнка 11 лет помогла исправить дистальный прикус без сложных аппаратов. Клинический случаи
Иногда для успешного лечения не нужно сложное оборудование, а достаточно лишь правильной диагностики, доверительных отношений и ответственности пациента. Я, врач-стоматолог, ортодонт, гнатолог, хочу рассказать вам об одном клиническом случае - маленькой девочке, чей интерес к лечению помог избежать установки сложных конструкции для коррекции прикуса и подчеркнул, как важны доверие и сотрудничество между врачом и пациентом. Ко мне на консультацию обратилась девочка 11 лет вместе с мамой по рекомендации стоматолога-терапевта. Основными причинами обращения стали затруднённая гигиена полости рта и эстетические жалобы — неровные зубы и неправильное положение клыков на верхней челюсти. На момент начала лечения я использовала классические методы комплексной диагностики — снятие оттисков, изготовление гипсовых моделей и их анализ. Сейчас аналогичные исследования мы выполняем уже в цифровом формате, но суть остается прежней — точная оценка каждого параметра прикуса и роста челюстей. Дополнитель
Показать еще
загрузка
Показать ещёНапишите, что Вы ищете, и мы постараемся это найти!

