
Фильтр
Клинический пример гигантского пигментного волосатого невуса кожи
Решил описать довольно распространенную доброкачественную опухоль кожи - невус Беккера (он же меланоз Беккера или пигментный волосатый эпидермальный невус). Невус Беккера представляет собой участок гиперпигментации коричневого цвета, часто покрытый густыми темными жесткими волосами. Часто новообразование может достигать размеров в несколько десятков сантиметров. Наиболее частая локализация невуса Беккера - плечо, грудь и спина. Невус Беккера является приобретенным, возникает обычно в подростковом возрасте или на третьем десятке лет жизни, реже - в детском возрасте. Риск озлокачествления такого новообразования минимальный. Невус Беккера не считается опасным - это в чистом виде проблема эстетического характера. В литературе описаны единичные случаи меланомы, базалиомы и плоскоклеточного рака в области невуса или рядом с ним, но это, вероятнее всего случайные совпадения. Лечение проводится по желанию пациента и не является обязательным, поскольку невус не представляет угрозы для здоровья
Показать еще
- Класс
Крайне редкий случай злокачественной трансформации безобидной опухоли кожи
На фото ниже - безобидная доброкачественная дерматофиброма под 20-кратным увеличением дерматоскопа. Подобные новообразования не являются редкостью, встречаются на коже различных частей тела, часто на коже нижних конечностей. Нередко дерматофибромы появляются как реакция кожи на микротравму, а также после воспаления волосяных фолликулов или в месте вросшего волоса (после бритья ног, например). Дерматофиброма не опасна, не требует удаления, но (крайне редко) возможно озлокачествление даже такого безобидного новообразования. В данной публикации опишу случай пациента, у которого еще в подростковом возрасте на коже подвздошной области появилась безобидное округлое пятнышко красно-коричневого цвета. Пятнышко не увеличивалось и никак не менялось более 10 лет, но затем начало очень медленно увеличиваться. Пациент в течение нескольких лет обращался к хирургам - было рекомендовано наблюдение, биопсию длительное время никто не назначал. Опухоль очень медленно росла в течение еще 8 лет, а затем т
Показать еще
Прогрессирование рака скрывалось под маской пневмонии. Случай из практики онколога
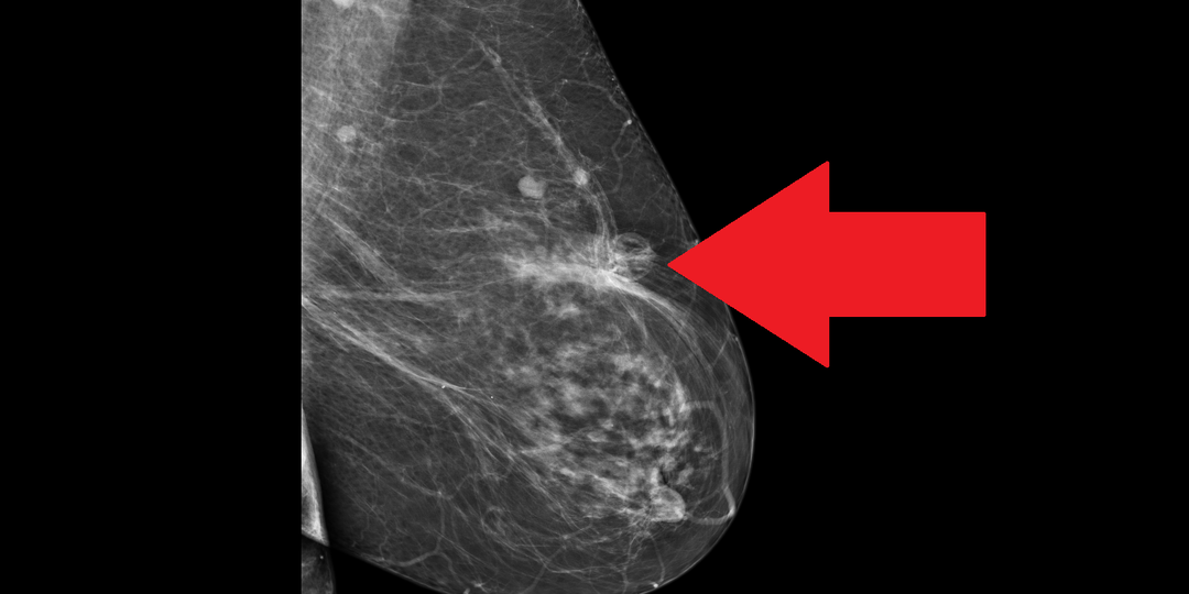
Сегодня расскажу историю пациентки, которой около 7 лет назад был установлен диагноз рак молочной железы. Биопсия подтвердила инвазивный характер опухоли, по данным иммуногистохимического (ИГХ) исследования опухоль оказалась гормонзависимой (люминальной), HER2-негативной. По данным комплексного обследования признаков отдаленного метастазирования не выявлено, установлена II стадия заболевания. Выполнена мастэктомия с реконструктивной пластикой имплантом, назначена гормонотерапия тамоксифеном. Через три года по данным контрольного обследования было диагностировано метастатическое поражение костей. Назначена терапия ингибиторами ароматазы в комбинации с рибоциклибом, а также деносумаб. Менее чем через год рибоциклиб пришлось отменить из-за выраженной гепатотоксичности (печеночные ферменты АСАТ и АЛАТ повысились до нескольких сотен единиц). Но прием ингибиторов ароматазы+деносумаб был продолжен. Еще через три года у пациентки появились жалобы на ухудшение общего состояния, одышку. По дан
Показать еще
Розовая язвочка на лице может оказаться злокачественной опухолью. Базалиома. Пример из практики онколога
Розового цвета небольшое безболезненное пятнышко или узелок, возникающее на лице, постепенно медленно увеличивающееся, порой покрывающееся корочкой, порой кровоточащее - всё это признаки злокачественной опухоли. Лицо - зона особая: опухоль видна и самому пациенту, и окружающим, но люди месяцами и годами смотрят на неё в зеркало и… ничего не делают. Сегодня речь пойдет о самой распространённой злокачественной опухоли кожи - базалиоме (базальноклеточном раке). Я пишу о лице потому, что почти 80% случаев всех базалиом возникают именно на коже в области головы и шеи - там, где кожа всю жизнь получает максимум ультрафиолета. Базалиома возникает в самом глубоком - базальном - слое эпидермиса. Именно клетки базального слоя отвечают за постоянное обновление нашей кожи. Под воздействием ультрафиолета в них повышается риск мутаций, и в какой-то момент времени механизм клеточного деления может выйти из-под контроля. Главный фактор риска базалиомы - кумулятивное воздействие ультрафиолета в течени
Показать еще
Тестовый короткий курс гормонотерапии перед операцией при раке молочной железы. Зачем?
Гормонзависимый (люминальный) HER2-негативный тип рака молочной железы - это наиболее распространенный вариант заболевания, он составляет 60-73% от всех случаев РМЖ.
Хирургическое лечение на первом этапе является стандартом операбельного гормонзависимого HER2-негативного рака молочной железы. Но в последние годы в клиническую практику все шире внедряется предоперационная тестовая гормонотерапия - назначение короткого 2-4 недельного курса гормонотерапии (ингибиторы ароматазы, либо тамоксифен) непосредственно перед операцией. Назначение "тестового" 2-4 недельного курса гормонотерапии перед операцией является важным инструментом, помогающим оценить индивидуальный прогноз заболевания, индивидуальную пользу от гормонотерапии в будущем, а также необходимость назначения химиотерапии после операции. В клиническом исследовании POETIC, с участием более 4 тыс пациенток в постменопаузе с ранним люминальным HER2-негативным раком молочной железы, было показано, что снижение Ki67 до уровня менее 10%
Показать еще
Как оценивается гормонзависимость при раке молочной железы
Рак молочной железы - это не одна болезнь, а целая группа заболеваний. Каждая опухоль имеет свой "паспорт" - набор молекулярных характеристик, которые определяют её поведение, скорость прогрессирования и чувствительность к тому или иному лечению. Гормонзависимость - это, пожалуй, самый важный пункт в этом паспорте. Около 70% всех случаев рака молочной железы являются гормонзависимыми. В клетках гормонзависимого рака молочной железы находятся специальные белковые молекулы - рецепторы к эстрогену (ER) и прогестерону (PgR). Эти рецепторы связываются с женскими половыми гормонами (эстрогены) как ключ с замком. Когда гормон связывается с рецептором, он запускает внутри клетки цепочку сигналов, которая приводит к клеточному делению. Убрав "ключи" или заблокировав "замки", мы можем остановить или существенно замедлить рост опухоли. Именно на этом и основана гормональная терапия - один из самых эффективных и при этом относительно щадящих противоопухолевых методов лечения рака молочной железы.
Показать еще
Золедроновая кислота, кальций, витамин Д и костная ткань
Сегодня отвечаю на важный вопрос подписчицы, которая столкнулась с довольно распространенной проблемой - плохим самочувствием после введения золедроновой кислоты. Механизм действия золедроновой кислоты связан с подавлением активности остеокластов - клеток, которые разрушают костную ткань и высвобождают из неё кальций в кровь. На фоне введения бисфосфонатов прекращаются процессы разрушения костной ткани - и это, безусловно полезно для пациентов с остеопорозом или метастатическим поражением костей. Костные метастазы вырабатывают специальные вещества, стимулирующие активность остеокластов - это им необходимо для локального разрушения костной ткани, чтобы освободить пространство для роста. А золедроновая кислота подавляет активность остеокластов, в результате чего метастатические очаги остаются лишенными пространства для роста - они оказываются как-бы замурованными в костной ткани. Но идеальных лекарств, к сожалению, не существует. Подавление активности остеокластов лишает наш организм в
Показать еще
В какой ситуации удаление родинок снижает риск рака. Пример из практики онколога
Пациентка обратилась на прием с жалобами на увеличение размеров родинки на спине. При осмотре на коже спины в межлопаточной области определялся пигментный невус с неровным четким контуром, неравномерной пигментацией: При большем увеличении картина была следующей: При дерматоскопии с увеличением в х40 невус выглядел следующим образом: Подобная картина встречается при дисплазии (длительный процесс злокачественной трансформации из доброкачественной родинки в злокачественную опухоль), также так может выглядеть ранняя меланома кожи. Учитывая данные дерматоскопии было принято решение о удалении новообразования. По данным гистологического исследования подтвержден диспластический невус. Удаление подобных потенциально опасных новообразований кожи является профилактикой рака кожи и меланомы. Поскольку невус был удален и "не успел" озлокачествиться, какое-либо специальное динамическое наблюдение пациентке не показано. Прогноз, естественно, благоприятный. Также, Вам может быть интересно:
Показать еще
Рак желудка: признаки опухоли в анализах крови. Онкомаркеры
Клетки злокачественных опухолей вырабатывают и выделяют в окружающую межклеточную среду различные биологически активные молекулы. Измерение концентрации в крови некоторых из таких веществ (онкомаркеров) позволяет диагностировать опухоль, а также косвенно судить о распространенности заболевания. В клинической практике при раке желудка чаще всего используют три основных онкомаркера - это РЭА (СЕА), СА19-9 и СА72-4. Комбинация всех трех онкомаркеров значительно повышает точность диагностики по сравнению с использованием каждого по отдельности. Совместное определение уровня СА72-4, СА19-9 и РЭА повышает общую чувствительность диагностики до 40,3% (для сравнения, каждый онкомаркер по отдельности позволяет выявить лишь 4,7-20,8% случаев рака желудка). Важно отметить, что одновременное повышение концентрации любых двух онкомаркеров у пациента с раком желудка с вероятностью в 83,3% указывает на наличие отдаленных метастазов. Онкомаркеры рака желудка также имеют значение для оценки прогноза за
Показать еще
Как размер первичной опухоли влияет на риск метастазов в лимфоузлах
У меня периодически спрашивают: "Доктор, если опухоль маленькая, значит ли это, что метастазов точно не будет?". Или наоборот: "У меня опухоль большая, но в лимфоузлах все чисто - как так получилось?". Сегодня я хочу разобрать эту тему детально, опираясь на данные доказательной медицины и результаты клинических исследований. Мы поговорим о том, как размер первичной опухоли связан с риском метастазирования в лимфатические узлы, почему иногда маленькая опухоль "стреляет", а большая - нет, и что это значит для тактики лечения и прогноза выживаемости. Начнем с главного: связь между размером первичной опухоли и риском метастазирования в регионарные лимфоузлы действительно существует. И эта связь отражена в международной классификации TNM, которую используют все онкологи во всем мире. Согласно системе TNM категория T описывает размер первичной опухоли: T1 - менее 2 см, T2 - от 2 до 5 см, T3 - более 5 см. И чем выше Т, тем статистически чаще встречаются метастазы в лимфоузлах (категория N).
Показать еще
загрузка
Показать ещёНапишите, что Вы ищете, и мы постараемся это найти!
Левая колонка
О группе
Меня зовут Лисовой Вячеслав, я практикующий онколог, хирург.
Мой блог - источник полезной и достоверной информации для тех, кто столкнулся с онкологическим заболеванием.
📍Москва, Юсуповская больница, ул Нагорная 17к6
Для записи на консультацию пишите мне на почту
lisovoy.yusupovs@inbox.ru
Показать еще
Скрыть информацию

