Фильтр
Как выровнять зубы?
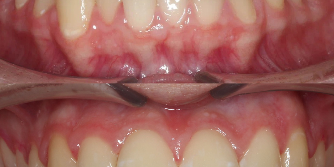
Если вы недовольны своей улыбкой, то это пора изменить!  Сегодня рассказываем о случае, где ортодонтическое лечение позволило не только выровнять зубы, но и восстановить правильную работу прикуса После консультации и диагностики были выявлены: • Выраженная скученность зубов • Глубокое перекрытие — верхняя челюсть значительно закрывала нижнюю • Смещённая средняя линия (визуально это делает улыбку асимметричной и влияет на гармонию лица) • Узкая улыбка  Мы разработали поэтапный план лечения и установили брекет-систему Damon-Q, чтобы корректно распределить место, выровнять зубные ряды и восстановить правильные соотношения челюстей Если вы давно стесняетесь своей улыбке и хотите подарить ей не только эстетику, но и здоровье, то ждем вас в Ликс Дент 🤍 #брекеты #ортодонтия #стоматология ⭐️ Рейтинг 5,0 на Яндекс.Картах  📍 Владимирский проспект, 7 📞 +7 921 399-41-17
Как выровнять зубы?
Показать еще
  • Класс
Что делать с дистопированными клыками?
Клинический случай: дистопированные клыки и перекрёстный прикус 👇🏻 Сегодня расскажем о случае, где ортодонтическое лечение помогло не только выровнять зубы, но и полностью изменить эстетику улыбки После консультации врача-ортодонта было выявлены: • Перекрёстный прикус • Дистопированные клыки  (клыки, которые неправильно расположены в зубном ряду, например, повернуты вокруг оси или наклонены в сторону)  • Смещение средней линии • Суженный зубной ряд Мы провели лечение с помощью брекет-системы Damon Q и добились идеального результата 😍 Этот случай показывает, что даже сильно смещённые зубы можно вернуть в идеальное положение при грамотном ортодонтическом подходе. Брекеты — это не только про эстетику, но и про здоровье и функциональность прикуса! Дли записи на консультацию к врачу-ортодонту пишите в личные сообщения 💬 ⭐️ Рейтинг 5,0 на Яндекс.Картах  📍 Владимирский проспект, 7 📞 +7 921 399-41-17
Что делать с дистопированными клыками?
Показать еще
  • Класс
Как мы вернули клык на место?
Командная работа: как мы вернули «заблудившийся» клык на место у взрослой пациентки Коллеги, друзья, пациенты! Как главный врач, я горжусь, когда в нашей клинике реализуются такие комплексные случаи. Хочу рассказать вам об одном из них — истории, которая длилась почти три года и завершилась блестящим результатом благодаря слаженной работе команды. Исходная ситуация: К ортодонту нашей клиники обратилась пациентка 21 года. Её беспокоил молочный клык, который так и не сменился постоянным. Диагностика выявила ретенцию — постоянный клык был скрыт в костной ткани и располагался в нёбе. Случай требовал продуманного плана и совместных усилий специалистов. Наш подход к лечению: Мы приняли решение не об удалении, а о возвращении естественного зуба в зубной ряд. Лечение заняло 2 года и 9 месяцев и включало два ключевых этапа: 1. Хирургический этап: Наш хирург аккуратно обнажил коронку ретинированного клыка через нёбный доступ, минимизируя вмешательство. 2. Ортодонтический этап: Ортодонт бережн
Как мы вернули клык на место?
Показать еще
  • Класс
Киста в зубе?
Случай из нашей практики: спасли зуб с «кистой» без удаления 👇🏻 Пациент обратился с жалобами на боль при накусывании и выпадение пломбы. После проведения компьютерной томографии (КТ) выяснилось: • Глубокий кариес дошёл до нерва • У корня зуба — воспаление и разрушение костной ткани (то, что часто называют «кистой») Киста — это мешочек с жидкостью, который появляется у корня зуба из-за воспаления Когда в зуб попадают микробы (например, из-за глубокого кариеса или старой пломбы), внутри начинает развиваться инфекция. Организм пытается защититься и вокруг воспаления образуется «капсула» из ткани, наполненная жидкостью 📸 На снимке КТ она выглядит как тёмное пятнышко у корня зуба 📍 Важно понимать: такие зубы лечатся поэтапно и требуют терпения. Мы не просто «прочистили и запломбировали каналы» ✔️ Сначала тщательно очистили каналы от инфекции ✔️ Затем несколько раз закладывали специальные лекарственные препараты внутрь каналов — они помогали снять воспаление и постепенно уменьшить о
Киста в зубе?
Показать еще
  • Класс
Брекеты или элайнеры?
День открытых дверей в клинике Ликс Дент  Приглашаем вас в нашу клинику на день открытых дверей, посвящённый ортодонтическому лечению!  • 15 ноября в 15:00 • Владимирский проспект, 7  Программа мероприятия: 🦷 Лекция от наших ведущих ортодонтов 🦷 Разберём реальные клинические случаи наших пациентов 🦷 Развеем все мифы и ответим на ваши вопросы 🎁 Подарки и бонусы для гостей мероприятия: • Бесплатная консультация любого специалиста при записи в день мероприятия • Скидка 5% на брекеты или элайнеры • Скидка 10% на терапевтическое лечение и на удаление зубов  • Ортодонтические средства гигиены  🎉 Розыгрыш диагностики для установки брекетов или элайнеров! А также — три счастливчика получат возможность пройти ортодонтическую консультацию прямо в день мероприятия Вход бесплатный, но количество мест ограничено — запись по телефону +7 921 399-41-17 или через личные сообщениях 🤍
Брекеты или элайнеры?
Показать еще
  • Класс
Как лечить контактный кариес?
Самый опасный кариес — контактный Часто пациенты думают, что кариес — это просто «чёрная точка» на зубе, которую легко заметить. Но есть форма, которая скрывается от глаз и доставляет куда больше проблем — контактный кариес 🦷  Почему он так опасен?  • Возникает между зубами, там, где их поверхности соприкасаются.  • Долгое время незаметен пациенту — внешне зуб может выглядеть абсолютно здоровым  • Когда появляются жалобы (чувствительность, боль), процесс уже зашёл далеко, и лечение становится сложнее  • Контактный кариес может быстро привести к поражению пульпы и необходимости более серьёзного вмешательства 🔎 Как его диагностировать? Обычный осмотр не всегда может помочь увидеть контактный кариес. Лучший метод — КТ (компьютерная томография), которая даёт точное изображение скрытых участков и помогает врачу-терапевту вовремя обнаружить патологию. Что важно для профилактики:  • Регулярно использовать зубную нить и ёршики для межзубных промежутков — щётка не всегда справляется  • Сл
Как лечить контактный кариес?
Показать еще
  • Класс
Показать ещё